Blog
10 erreurs que vous faites en vous brossant les dents
Se brosser les dents est un geste quotidien essentiel pour maintenir une bonne santé bucco-dentaire. Pourtant, beaucoup de personnes commettent des erreurs courantes lors du brossage, parfois sans s’en rendre compte.
Facettes dentaires : pour qui et à quel prix ?
Les facettes dentaires sont aujourd’hui l’un des traitements esthétiques les plus demandés en dentisterie. Elles permettent d’améliorer l’apparence du sourire de manière naturelle et durable.
Blanchiment dentaire : au cabinet ou à la maison ?
Avec le temps, les dents peuvent se colorer et perdre de leur éclat. Le blanchiment dentaire permet d’éclaircir la teinte des dents et de retrouver un sourire plus lumineux.
Combien coûte un implant dentaire en Suisse ?
La perte d’une dent peut avoir un impact important sur la mastication, l’esthétique du sourire et la santé bucco-dentaire. Aujourd’hui, l’implant dentaire est considéré comme la solution la plus durable et la plus proche d’une dent naturelle.
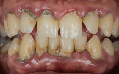
Gencives qui saignent : est-ce grave ?
Beaucoup de patients remarquent du sang lors du brossage des dents ou lorsqu’ils utilisent du fil dentaire. Dans la majorité des cas, ce signe indique une inflammation des gencives et ne doit pas être ignoré.
Les sucres pendant les 1000 premiers jours : quel impact sur la santé bucco-dentaire de votre enfant ?
Les 1000 premiers jours sont une fenêtre unique pour la croissance de votre enfant: cerveau, immunité… et dents. C’est aussi une période où le sucre peut s’installer insidieusement, avec un impact durable sur la santé bucco-dentaire.
Bruxisme : dents serrées, douleurs et enfin des solutions efficaces
Le bruxisme est un comportement involontaire qui, dans certains cas, peut rester discret. Mais lorsqu’il est intense ou prolongé, il peut provoquer de véritables dommages aux dents, aux muscles de la mâchoire et même altérer la qualité de vie.
Dents de lait : faut-il les soigner puisqu’elles vont tomber ? Mythe à déconstruire
Les dents de lait n’ont pas « moins d’importance ». Découvrez pourquoi il faut les soigner, les risques en cas d’inaction et les traitements doux chez Confident.
Sucette: quel est l’impact réel sur la santé bucco-dentaire des enfants?
La sucette est toujours mauvaise? Découvrez les effets réels sur les dents, la respiration et la parole, l’âge idéal pour arrêter et un plan de sevrage serein.
Fluor et santé bucco-dentaire des enfants : ennemi ou allié ?
Chez Confident Clinic, nous suivons les dernières recommandations scientifiques et les principales études médicales pour fournir à chaque famille des informations claires et fiables sur l’utilisation du fluorure.
Soins dentaires complexes ou anxieux ? L’anesthésie dentaire générale disponible au cabinet
La peur du dentiste est une réalité pour de nombreux patients. Pour répondre à ce besoin, le Cabinet Dentaire Confident propose une solution moderne et sûre : les soins dentaires sous anesthésie générale.
Pourquoi choisir le laser pour la frénectomie chez les enfants ?
La frénectomie est une intervention chirurgicale mineure consistant à couper le frein buccal (petit ligament de tissu) lorsqu’il est trop court ou trop épais — souvent sous la langue (« frein lingual ») ou à la lèvre supérieure (« frein labial »).
Laser dentaire : une technologie de pointe pour des traitements plus rapides, confortables et efficaces
Grâce au laser dentaire LaserBlue de Dentsply Sirona, il est possible d’effectuer divers traitements avec moins de douleur, moins d’anesthésie et une récupération plus rapide.
Pourquoi poser un appareil dentaire orthodontique amovible avant 10 ans ?
De nombreux parents se demandent s’il est trop tôt pour poser un appareil dentaire à leur enfant. Mais avant 10 ans, certains traitements, notamment ceux pour l’OFM, peuvent être plus efficaces, plus rapides et plus durables.
À quel âge est-il recommandé de faire la première visite chez le dentiste ?
De nombreux parents se demandent : quand emmener leur enfant chez le dentiste pour la première fois ? La réponse est surprenante : bien plus tôt qu’on ne le pense !
Implants Dentaires : Réponses aux 5 Questions les Plus Fréquentes
Découvrez les réponses aux 5 questions les plus fréquemment posées sur les implants dentaires : la meilleure solution aux dents manquantes.
Grossesse et Santé Bucco-Dentaire: ce que vous devez absolument savoir
Pendant la grossesse, il est essentiel de maintenir une bonne hygiène bucco-dentaire pour prévenir les complications dentaires.
Orthodontie Invisible à Prilly
Orthodontie Invisible à Prilly: Comment Invisalign® révolutionne les Sourires chez Confident


















