O sangramento das gengivas é uma situação relativamente frequente. Muitas pessoas notam sangue ao
escovar os dentes ou ao utilizar o fio dentário. Na maioria dos casos, este sinal indica uma inflamação
das gengivas e não deve ser ignorado.
No gabinete dentário Confident, em Prilly, observamos frequentemente que o sangramento gengival é
um dos primeiros sinais de que algo não está bem com a saúde das gengivas. A boa notícia é que,
quando tratado precocemente, este problema costuma ter uma solução simples e eficaz.
Porque é que as gengivas sangram?
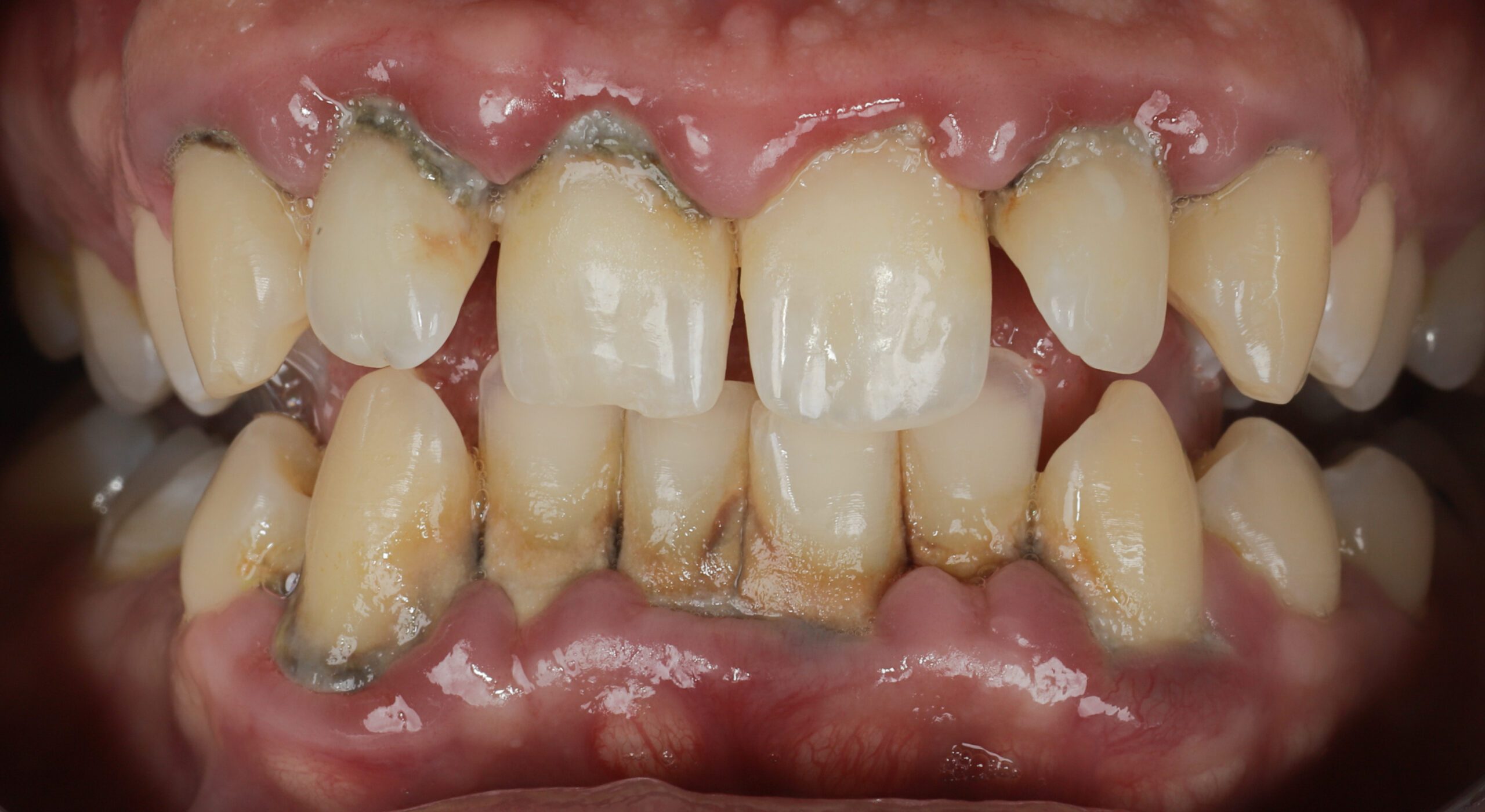
As gengivas saudáveis nunca devem sangrar. O sangramento está geralmente associado a uma
inflamação chamada gengivite.
As causas mais frequentes incluem:
1. Acumulação de placa bacteriana
A placa bacteriana forma-se naturalmente sobre os dentes e junto às gengivas. Se não for removida
corretamente através da escovagem e da limpeza interdentária, pode provocar irritação e inflamação das
gengivas.
2. Gengivite
A gengivite é uma inflamação das gengivas causada pelas bactérias presentes na placa dentária.
Os sinais mais comuns são:
– gengivas vermelhas
– gengivas inchadas
– sangramento durante a escovagem
– sensibilidade nas gengivas
Se não for tratada, a gengivite pode evoluir para periodontite, uma doença mais grave que pode levar à
perda dos dentes.
Técnica de escovagem inadequada
Uma escovagem demasiado agressiva ou a utilização de uma escova de dentes muito dura pode
provocar irritação das gengivas e favorecer o sangramento.
Alterações hormonais
As variações hormonais podem tornar as gengivas mais sensíveis.
Isto pode acontecer, por exemplo:
– durante a gravidez
– durante a puberdade
– em certas fases do ciclo hormonal
Algumas doenças ou carências nutricionais
Em certos casos, o sangramento gengival pode estar associado a fatores sistémicos, como:
– diabetes
– carência de vitamina C
– carência de ferro
– alguns medicamentos
Quando é importante consultar um dentista?
Um pequeno sangramento ocasional pode acontecer quando as gengivas estão irritadas. No entanto, é
aconselhável procurar avaliação profissional se:
– as gengivas sangrarem frequentemente
– as gengivas estão vermelhas ou inchadas
– existe mau hálito persistente
– as gengivas parecem retraídas
– os dentes parecem mais sensíveis ou ligeiramente móveis
Um diagnóstico precoce permite evitar a progressão para doenças gengivais mais avançadas.
Quais são os tratamentos disponíveis?
O tratamento depende da causa do sangramento.
– Destartarização profissional
Na maioria dos casos, uma destartarização realizada no consultório dentário permite remover o tártaro e
as bactérias responsáveis pela inflamação das gengivas.
– Melhorar da higiene oral
O dentista ou higienista oral pode recomendar:
– uma técnica de escovagem adequada
– a utilização de fio dentário ou escovilhões interdentários
– dentífricos específicos para gengivas sensíveis
– Tratamento periodontal
Quando a inflamação é mais avançada, pode ser necessário um tratamento periodontal para limpar
profundamente as bolsas gengivais e estabilizar a saúde das gengivas.
Como prevenir o sangramento das gengivas?
Alguns hábitos simples podem ajudar a manter gengivas saudáveis:
– escovar os dentes pelo menos duas vezes por dia
– utilizar fio dentário ou escovilhões interdentários diariamente
– realizar consultas de controlo e destartarização regularmente
– manter uma alimentação equilibrada rica em vitaminas
– evitar o tabaco, que aumenta o risco de doença gengival
Se notar que as suas gengivas sangram com frequência, é importante procurar avaliação. Muitas vezes,
um simples controlo e uma destartarização permitem resolver rapidamente o problema e proteger a
saúde das gengivas.
No gabinete dentário Confident, em Prilly, acompanhamos cada paciente de forma personalizada para
prevenir e tratar as doenças gengivais e garantir um sorriso saudável e duradouro.
Dra. Marta Sequeira | Médica Dentista na Confident

