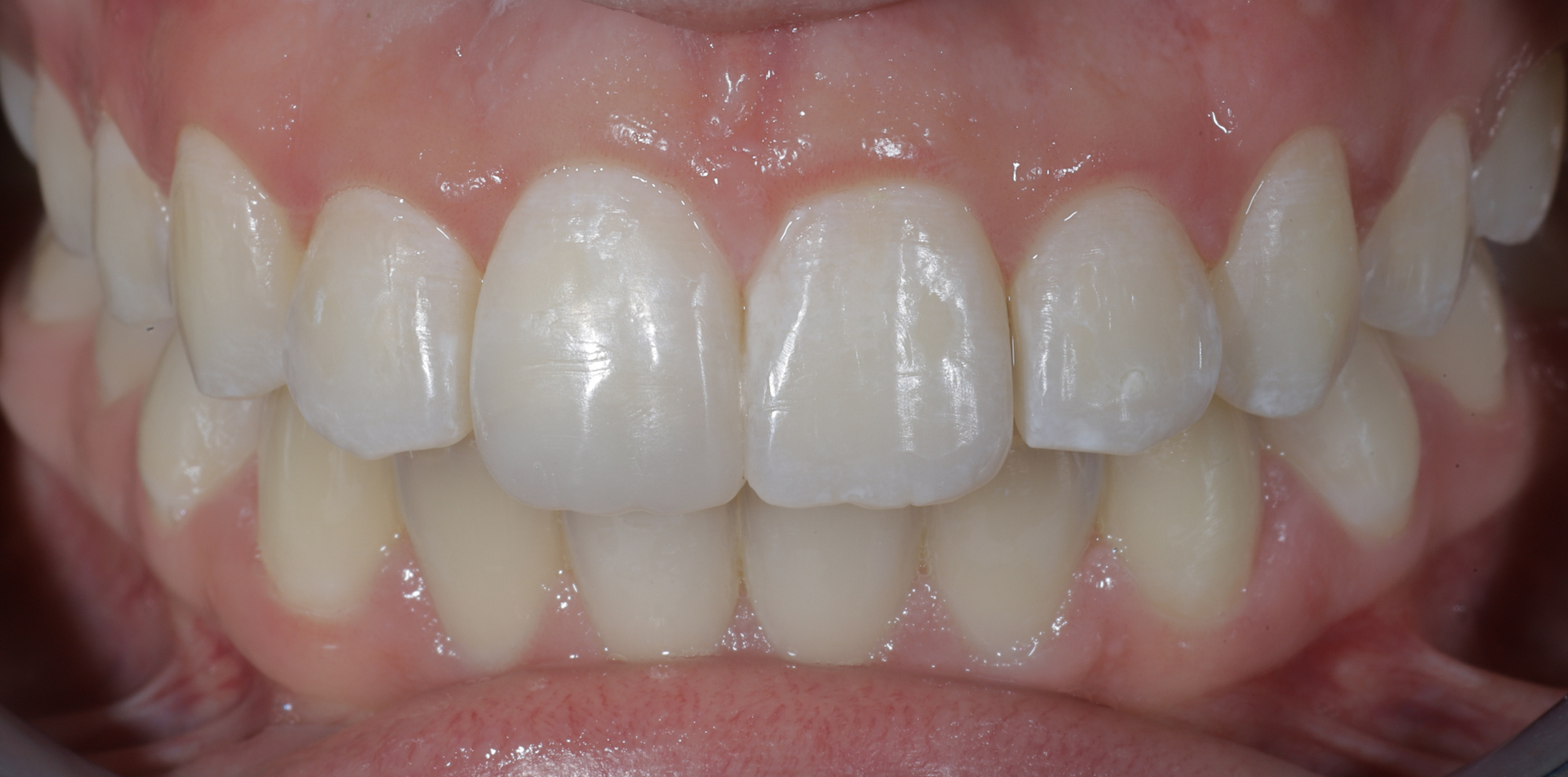
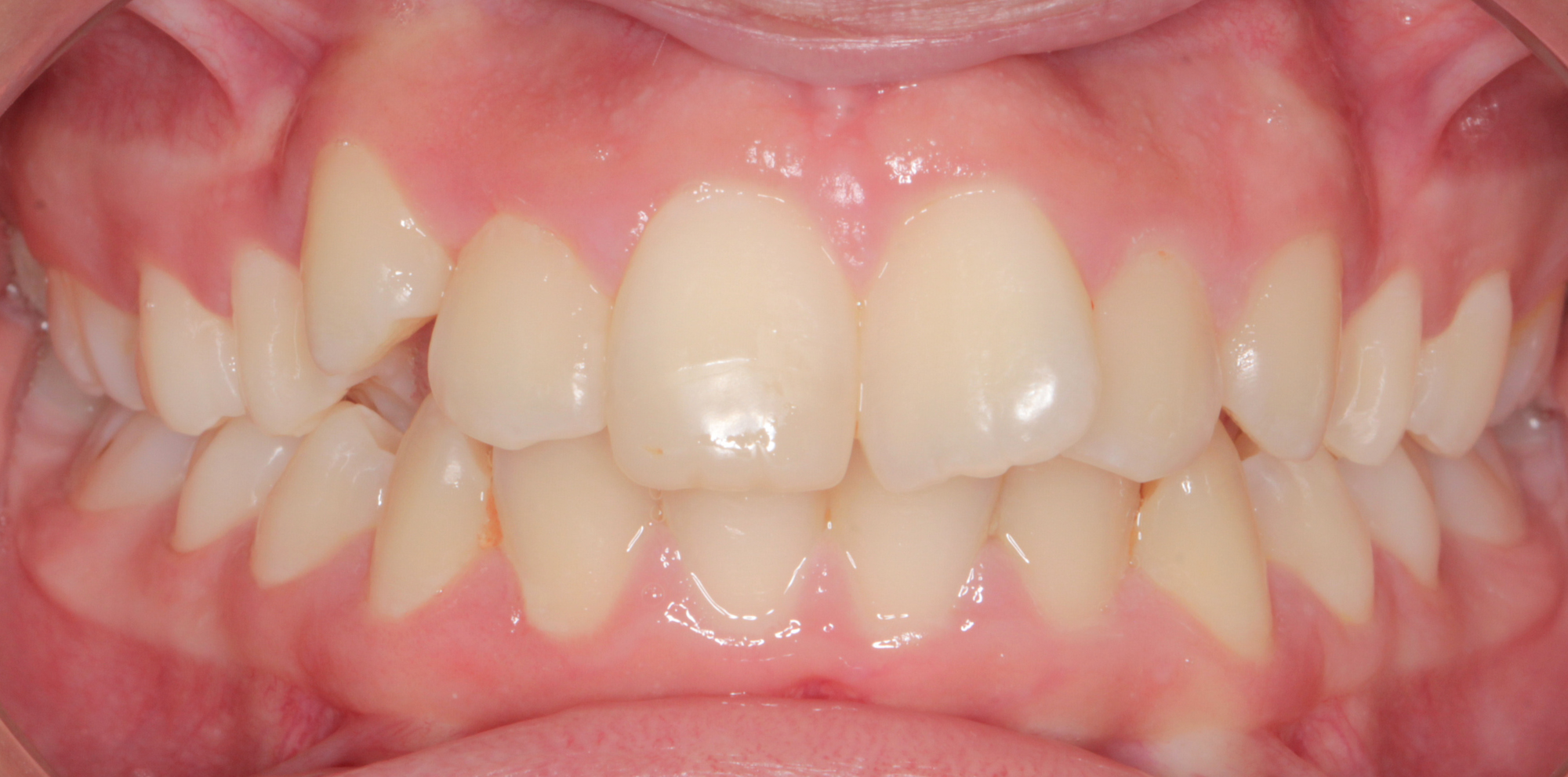
Correção do apinhamento dentário com tratamento ortodôntico
Antes
Depois
Esta paciente apresentava um desalinhamento dentário visível, principalmente na zona dos dentes anteriores, com apinhamento moderado e uma harmonia do sorriso diminuída.
A análise ortodôntica evidenciou:
– falta de espaço, provocando sobreposição dentária;
– apinhamento irregular dos incisivos;
– uma relação de oclusão que podia ser otimizada para melhorar a estética e a função.
O objetivo do tratamento ortodôntico foi recuperar um sorriso harmonioso, alinhado e natural, respeitando o equilíbrio facial e a função mastigatória.
Na clínica Confident, cada plano de tratamento é personalizado.
